说起软斑病,可能很多人听都没听过——它确实不算常见,但一旦找上门,容易悄悄损伤器官,尤其爱盯上泌尿系统。今天用大白话跟大家唠明白,不用记复杂术语,重点看“是什么、谁容易得、怎么发现、怎么治”。
首先,软斑病本质是慢性炎症,不是肿瘤也不是传染病。简单说,就是我们身体里负责“杀菌清洁”的免疫细胞(比如巨噬细胞)“罢工”了——本该吞掉细菌后消化分解,结果没消化干净,细菌残骸堆在细胞里,慢慢形成黄色、柔软的斑块,这就是“软斑”。这些斑块会在器官里越积越多,慢慢破坏组织功能。
最常发病的部位是膀胱(占了快一半),其次是肾脏、输尿管,偶尔也会出现在胃肠道、皮肤这些地方。而且它特别“偏爱”中老年人,女性因为尿道短、容易有泌尿系统感染,得膀胱软斑病的概率比男性高不少。
哪些人容易被它盯上呢?主要是免疫力弱的人群:比如长期吃激素、有糖尿病(血糖控制不好会削弱免疫力)、做过器官移植的人,还有反复得泌尿系统感染却没彻底治好的人——细菌反复刺激,免疫细胞忙不过来,就容易“堆垃圾”形成软斑。
症状其实不特异,很容易跟普通炎症搞混:膀胱软斑病会让人尿频、尿急、尿痛,甚至尿里带血;如果影响到肾脏,可能会腰痛、发烧,严重了还会影响肾功能。正因为症状普通,很多人会误以为是普通尿道炎,拖着不就医,直到做B超、CT发现占位性病变,或者取组织活检才确诊。
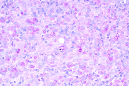
诊断的关键是病理检查——医生取一小块病变组织,在显微镜下能看到特征性的“软斑小体”,这是确诊的金标准。另外,做尿常规、尿培养能找到感染的细菌(最常见的是大肠杆菌),影像学检查能看出病变的位置和大小,帮医生判断病情轻重。

PAS(软斑小体) HEX400
治疗方面,核心是“杀菌+帮免疫细胞干活”:首先要足量、足疗程用抗生素,针对性消灭感染的细菌,而且疗程通常比普通尿路感染长,避免复发;然后要控制基础病,比如糖尿病患者得把血糖降下来,长期吃激素的人要在医生指导下调整用药,让免疫力慢慢恢复;如果病变范围大、已经影响器官功能,可能需要手术切除病变组织。
总的来说,软斑病虽然少见,但只要早发现、早治疗,预后大多不错,不用过度恐慌。如果家里有中老年人,或者自己有反复尿路感染、糖尿病等情况,出现尿频尿急、血尿、腰痛等症状时,别只当普通炎症扛着,及时去医院检查,早干预才能避免器官受损。